gettyimages 1526917841

UFC-kæmper Dan Hooker brækkede armen - forsatte og vandt kampen

MMAjul. 12 2023, 15:13
UFC-kæmper Dan Hooker har fået kaldenavnet 'The Hangman', hvilket ikke var et tilfælde.
Lørdag var Dan Hooker i kamp mod Jalin Turner. De kæmpede i tre runder, inden den 33-årige Hooker blev kåret som vinder via split-decision.
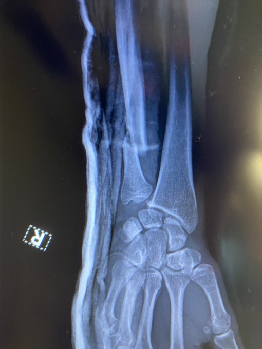
Det var ikke blot en stor bedrift, at han vandt. Det blev kun gjort til en endnu større bedrift af det faktum, at han gjorde det med en brækket arm. Søndag delte han selv et røntgenbillede af armen, som tydeligt er brækket.
I hans interview efter kampen sagde han ifølge Yardbarker, at der blot var tale om en skramme. Det viste sig dog, at det var mere end det.
"Det er bare en skramme. Vi må se," sagde han.
Hooker har kæmpet mere end 20 kampe i UFC, hvilket omfatter kampe mod store stjerner som Dustin Poirer, Islam Makhachev og Michael Chandler.
"Jeg tog et kig på det, og jeg synes, at det var lidt en langsom proces," sagde Hooker til The MMA Hour.
"Jeg tror, det var et spark i første runde, der kan have givet den et lille knæk. Hvis du ser på det, kigger jeg ned på min arm lige da runde to starter. Det gør jeg, fordi den ikke reagerer, som jeg vil have den til. I anden runde lander han et par spark mere, og jeg tror, det brækker den."
"Jeg følte det i anden runde. Jeg tænkte: 'Der er noget heroppe'. Jeg kunne ikke mærke min højre hånd. Det var først i tredje runde, jeg fik ham ned, og jeg prøvede at afslutte det. Jeg fulgte op med slag."
"Jeg slog med min højre og følte, at den gik helt skævt. Hele min højre arm gik bare død. Det var ikke sådan, jeg ville vinde. Jeg styrede ham på toppen med højre albue, og blev på toppen, mens jeg slog ham med min venstre hånd."
Mest læste

Loading